Ολοκεραμικά συστήματα

Περιγραφή

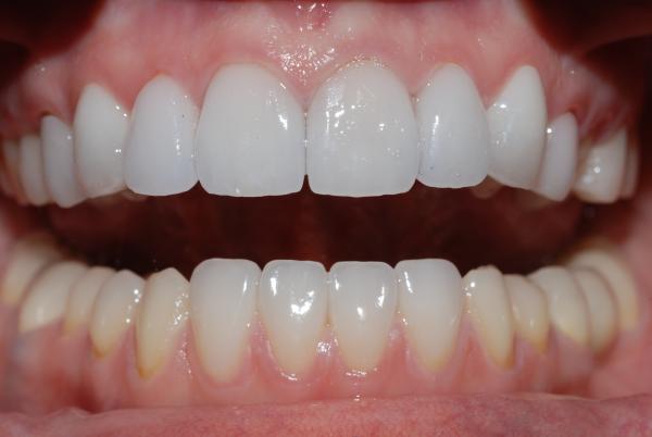
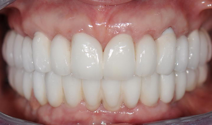
Τα ολοκεραμικά δόντια μπορούν να αποδώσουν ένα όχι απλά αποδεκτό αλλά όμορφο και ελκυστικό αισθητικά αποτέλεσμα. Συνιστάται για δόντια που έχουν υποστεί κάταγμα ή που έχουν προσβληθεί από τερηδόνα, καθώς και για υποπλαστικά δόντια, τα οποία αποκτούν φυσιολογική μορφολογία. Η φυσικότητα που διαθέτουν τα ολοκεραμικά τα καθιστά δύσκολα διακριτά μέσα στο φυσικό φραγμό. Είναι εργασίες άριστης αισθητικής κυρίως στους αυχένες των δοντικών λόγω της εγγενούς ημιδιαφάνειας του υλικού τους και της απουσίας μεταλλικού σκελετού. Η διέλευση της πορσελάνης απ΄το φως είναι παρόμοια με εκείνη της αδαμαντίνης. Διαθέτουν επίσης πολύ καλή εμβιοσυμβατότητα λόγω της απουσίας τοξικότητας και αλληλεπιδράσεων με άλλα αποκαταστατικά υλικά. Γι' αυτούς τους λόγους υπερέχουν σαφώς των κλασσικών μεταλλοκεραμικών εργασιών. Δεν πρέπει να παραλείψουμε ότι τα νέα ολοκεραμικά διαθέτουν αυξημένες μηχανικές ιδιότητες, γεγονός που σημαίνει μεγάλη αντοχή και διάρκεια σε βάθος χρόνου.

Media Player UI
Media Player UI
Media Player UI
Media Player UI
Media Player UI
Copyrights © 2014 & All Rights Reserved by Dentalaestheticslab.gr